In a horrible twist of fate, Sky somehow has had to avoid euthanasia at the same shelter in North Carolina twice. First she was adopted from the shelter directly to a forever home, which turned out to be a
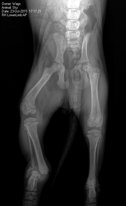
temporary hell, where she suffered broken ribs, a broken leg and fell ill with parvovirus.
Then she was returned to the county shelter and placed in the back, where it is common knowledge if a dog is in the back, there is no hope for adoption — only rescue or death. WAGS rescue of PA swooped in and rescued her a
nd another injured dog the same night. It was recommended that Sky be euthanized due to all the pain associated with her injuries and the parvovirus that rendered her too weak for surgery. Despite all of this, Sky continued to wag her tail!
Instead, WAGS fought harder to keep her alive and took her to an emergency vet in North Carolina where she was immediately treated for parvo. Things were looking good the next week and the vet opted to try to save her leg and put it in a splint.
The Tortorella Foundation has committed to help with a portion of her medical bills and offer their sincere gratitude to WAGS, who was willing to save this puppy, sparing little expense. The foundation also committed to help with the medical costs for the other dog that was rescued by WAGS with a broken leg — Bronx.
